Call us Now
Contact us via phone number
Visit Our Clinics
Find the nearest CDC branch
25 K+
Dental deliveries
Professor Dr. Tarek Hosny
A Legacy of Excellence
"A Tribute to the Founder and Mentor"
Beyond his technical mastery, Dr. Tarek developed methodologies that elevated the patient's care and journey - a philosophy that continues to shape our approach till this current day.
He was a visionary innovator, developing techniques that transformed modern dentistry - from advanced bone grafting to custom prosthetic design - laying the foundation upon which CDC proudly stands.
Today, we - a generation inspired by his vision - are privileged to continue his legacy of excellence, ensuring every patient receives the same trusted, compassionate and high-quality care that defined his life's work.
He was a visionary innovator, developing techniques that transformed modern dentistry - from advanced bone grafting to custom prosthetic design - laying the foundation upon which CDC proudly stands.
Today, we - a generation inspired by his vision - are privileged to continue his legacy of excellence, ensuring every patient receives the same trusted, compassionate and high-quality care that defined his life's work.
Laser Dentistry
Digital Imaging
Intraoral Cameras
Sterilization Units
In-House Dental Lab
At CDC
We provide comprehensive
care for every case
{"cpt":"service","style":"8","columns":"4","show":-1,"order":"ASC","orderby":"date"}
“ Your one stop Dental Hub”
Professional
Clinic
4.9 (7.8k review)
Discover Our
Advanced Technology & Modern Facilities
“ Your one stop Dental Hub”
01
Laser Dentistry
We use advanced lasers for precise treatments with less pain, minimal bleeding & faster healing — ensuring comfortable & efficient dental care every time.
02
Digital Imaging
Our digital X-rays deliver instant, high-quality images with minimal radiation for accurate diagnoses and better, safer treatment planning.
03
Intraoral Cameras
High-definition cameras let patients see inside their mouths in real time, improving understanding, trust and treatment communication.
04
Sterilization Unit
Specialized facility designed to ensure the complete elimination of microorganisms, including bacteria, viruses, fungi & spores, from instruments & equipment.
In House Dental Lab
The Cairo Dental Centers guarantee that you can leave with your personalized crowns, inlays and overlays in less than an hour.
We stand out with our 3Shape TRIOS Intraoral Scanner which is utilized to capture quick and precise digital impressions that are instantaneously sent to the DC1 milling machine in our Milling Center.
In around 45 minutes, your new smile will be designed, finalized and delivered to you to fit and use immediately.
We stand out with our 3Shape TRIOS Intraoral Scanner which is utilized to capture quick and precise digital impressions that are instantaneously sent to the DC1 milling machine in our Milling Center.
In around 45 minutes, your new smile will be designed, finalized and delivered to you to fit and use immediately.
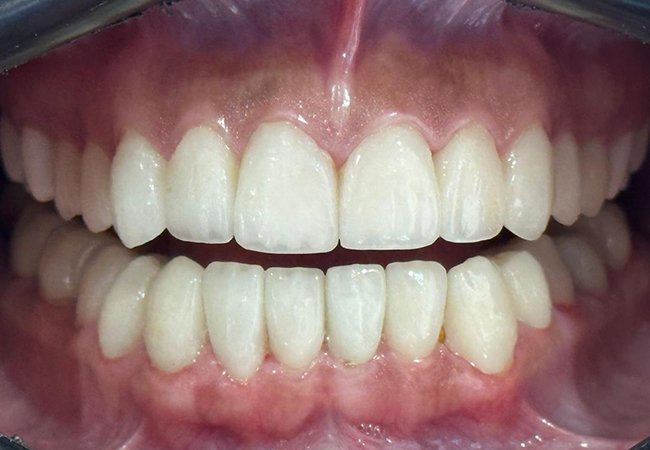
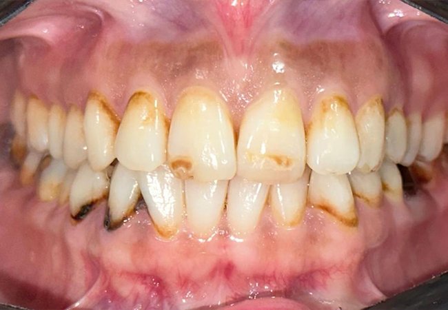
CDC Photo Gallery













Transforming Smiles with Precision
Before & After Treatments
Advanced treatments that transform , reshape, enhance, and restore your smile.
{"cpt":"client","style":"1","columns":"5","show":"6","from_category":["black"],"order":"DESC","orderby":"DESC"}
No data available.
our blogs
Latest posts & articles
{"cpt":"blog","style":"1","columns":"3","show":"6","order":"DESC","orderby":"none"}
No data available.










